
If your front teeth stick out farther than they should, you might be dealing with what’s known as an overjet. We see this a lot at our Bellevue office, and it’s a common concern for both teens and adults. An overjet doesn’t just affect how your teeth come together. It can also change your facial profile, impact your speech, and affect how confident you feel when you smile.
The good news? With the right treatment plan, we can make a noticeable difference. At Washington Orthodontics, we’ve helped countless patients correct their overjets. In this article, I’ll walk you through what those before and after transformations can look like.
What Is an Overjet?
An overjet is when the upper front teeth protrude outward beyond the lower teeth. It’s often confused with an overbite, but they’re not the same. While an overbite refers to the vertical overlap of teeth, an overjet is all about the horizontal distance. In severe cases, this can lead to difficulties with chewing, speech, or even jaw discomfort.
Causes of Overjet
Before we get to the results, it’s helpful to know what causes an overjet in the first place:
- Thumb sucking or pacifier use beyond age 3
- Genetics (jaw or tooth alignment)
- Tongue thrusting
- Prolonged bottle feeding
- Missing or misaligned teeth
Treatment Options for Overjet
Every smile is different, so the right solution depends on the severity of the overjet and your overall oral health. Here are the most common treatments:
Braces: Traditional braces are often the go-to solution for overjet correction. By using brackets and wires, your orthodontist gradually moves the teeth into better alignment over time.
Clear Aligners: For mild to moderate overjets, clear aligners can offer a discreet and flexible way to shift teeth without the brackets and wires.
Tooth Extraction: In some cases, teeth may need to be removed to create space and allow the remaining teeth to move into proper alignment.
Jaw Surgery (Orthognathic Surgery): For severe skeletal overjets, especially those caused by jaw misalignment, corrective jaw surgery may be required in combination with orthodontics.
Overjet Before and After: What to Expect
Wondering what kind of changes you’ll actually see after correcting an overjet? Here’s what to expect during your transformation at Washington Orthodontics—from bite improvements to noticeable changes in your facial profile and smile.
Facial Profile Changes

One of the most noticeable transformations we see here in our Bellevue office is in the side profile. If your upper lip sticks out or your chin feels like it’s set too far back, that’s often a result of a significant overjet. After treatment, the overall profile looks more balanced, and your jawline becomes more defined and aligned with the rest of your face.
Teeth Alignment

Before we start treatment, the upper front teeth often look flared or pushed too far forward. Once we’ve completed your orthodontic plan, those same teeth sit in proper alignment with the lower arch. This helps your bite function properly and gives your smile a more polished, natural look.
Smile Aesthetics

We hear this all the time from patients in Bellevue: “My smile feels softer and more natural now.” After correcting an overjet, the protrusion is gone, your bite fits together comfortably, and your smile looks more even and symmetrical.
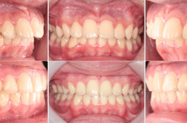
Real Overjet Before and After Results
At Washington Orthodontics, we’ve helped countless patients not only improve how their smile looks but how it feels day to day. Here’s a breakdown of the kinds of changes you can expect:

Before treatment, many patients notice that their upper teeth stick out significantly, making it difficult to close their lips without strain. After correcting the overjet, the upper and lower teeth meet properly, the lips close comfortably, and the overall facial profile appears more balanced.
Another common concern is how the smile looks. In many overjet cases, the smile shows mostly upper teeth while the lower teeth are barely visible. Once treatment is complete, the tooth display becomes more balanced, with even spacing and a natural-looking smile arc.
In terms of facial structure, an overjet can make the lower jaw appear recessed or underdeveloped. After treatment, the jawline looks stronger, more defined, and better aligned with the rest of the face.
How Long Does Overjet Treatment Take?
Treatment time can vary quite a bit depending on how severe your overjet is and which method we choose. Some patients only need minor adjustments with clear aligners, while others may need a more involved approach with braces or even jaw surgery.
Either way, we’ll walk you through the timeline during your initial consultation so you know exactly what to expect. If you’re considering braces, you might also be wondering how long braces take to start working. While results vary from person to person, many patients begin noticing small changes within the first few months. Significant shifts usually become visible around the 6-month mark, and the full correction typically takes place over 18 to 30 months depending on your case.
- Braces: 18 to 30 months – Braces give us full control over tooth movement, which is why they’re a great option for moderate to severe overjets.
- Clear Aligners: 12 to 24 months – Clear aligners are often used for mild to moderate cases. They’re discreet and flexible, but still deliver powerful results when worn consistently.
- Surgical Cases: 1 to 2 years – If your overjet is caused by a skeletal issue rather than just tooth position, jaw surgery combined with orthodontic treatment may be the best option. These cases take longer, but the results can be dramatic—both functionally and aesthetically.
Is Overjet Correction Worth It?
Absolutely. Beyond the cosmetic improvement, correcting an overjet can:
- Improve bite function and chewing efficiency
- Prevent future dental issues like enamel wear or jaw pain
- Boost self-confidence and facial balance
- Make speaking and closing your lips easier and more natural
Final Thoughts
Whether you’re just starting to explore treatment or already have a consultation booked with us here in Bellevue, it helps to understand what overjet correction can actually do for you. Seeing the before and after makes it clear—this isn’t just about looks.
With the right plan, you’ll end up with a smile that works better, feels more comfortable, and gives you a real boost in confidence. And we’ll be here to guide you through every step. Book your free consultation today!
